Health
Dental Veneers Cost
Published
1 month agoon
By
Engrnewswire
Veneers are one of the most popular cosmetic dentistry services globally. They offer a quick, efficient solution to enhancing the shape of your smile by covering problems like discoloration, chips, or gaps. But, of course, one of the most asked questions of patients prior to making a decision is regarding veneers dental treatment price.
Since the price may be significantly varied depending on the material, place, and number of teeth to be treated, it is important to know the several factors influencing veneers price.
Here, we will outline everything that you might be interested in learning about the cost of teeth veneers, whether porcelain, composite, zirconia, or no-prep. Its important what influences the average veneers cost and what you will pay for a complete set veneers cost.
How Much Does a Full Set of Veneers Cost?
When patients inquire about veneer cost, what they are really asking is what it would take to give their whole smile a makeover. A full set of veneers typically means 8–10 veneers on the uppers, as these will be most noticeable when smiling. Others have the lower teeth veneered as well, so a full set then becomes 16–20 veneers.
The price of full set veneers largely depends on the material. Porcelain is expensive but long-lasting, while composite veneers are cheaper but may need to be replaced sooner. The veneers cost between $800 to $2,500 per tooth.
In the rest of the globe, such as Turkey, Mexico, or Eastern Europe, veneers teeth are cheaper due to reduced dental overhead and operating costs, which typically allow foreign patients to have a complete set for half or even a third of what they would be asked to pay in the U.S. or U.K.
Full Set of Veneers Cost
The cost of the full set veneers also depends on whether or not you require other dental procedures. If you need gum contouring, teeth whitening, or dental bonding prior to installing veneers, the overall cost will be more. The full set of veneers cost between $6,000 and $40,000.
Andepol dental clinic offer smile makeover packages that include a full set of veneers, or other treatments at a fixed fee. The patients who are going to opt for veneers dental cost should inquire if such types of packages are available because they can save them money if they pay rather than tooth by tooth.
Insurance will generally not cover the veneers teeth cost because veneers are a cosmetic treatment, not medically necessary. There are some financing options that will, however, spread the cost over time.
Veneer Type | Average Cost (£) |
Composite Veneers | £150 – £350 |
Porcelain Veneers | £400 – £800 |
E-Max Veneers | £500 – £900 |
Zirconia Veneers | £600 – £1,000 |
Full Set of Upper Teeth Veneers | £3,500 – £7,000 |
Full Set of Upper and Lower Teeth Veneers | £7,000 – £12,000 |
Cost of Porcelain Veneers
Porcelain veneers are the gold standard of the cosmetic dentistry field because of their durability, resistance to staining, and natural look. They are individually designed in a dental lab and cemented to the front of your teeth.
Porcelain veneers are higher in cost when compared to other materials based on the quality, workmanship, and time. The price of porcelain veneers can range from $1,000 to $2,500 per tooth in countries like the U.S. or U.K. However, in dental tourism nations, the same porcelain veneers can be bought between $300 and $800 per tooth.
Patients typically opt for porcelain although veneers for teeth are more costly since they typically last for 10–15 years if properly taken care of, hence are a worthwhile long-term investment.
Composite Veneers Price
Composite veneers are made from a resin tooth-colored substance that is placed directly on the tooth and sculpted by the dentist. They require minimal preparation and are typically less costly.
Composite veneers typically cost between $250 and $1,200 per tooth, so they are highly sought after by patients who want an economical option. While they are not as long lasting as porcelain (about 5–7 years), they will still significantly enhance your smile.
Because they are inexpensive, patients who need few teeth treated such as the price for 2 front teeth veneer often choose composite veneers. This offers a cosmetic improvement without the excessive fee of porcelain.
No Prep Veneers Cost
No-prep veneers, or minimal-prep or prep-less veneers, are rapidly becoming a patients’ number-one selection as they prefer a less invasive procedure. They are not the same as the conventional veneers that require some enamel reduction because they are very thin and can be placed with little modification of the natural tooth.
The price of no prep veneers is typically comparable to that of porcelain veneers, between $800 and $2,000 per tooth. Even though they are more expensive than composite veneers, the majority of patients prefer them since the treatment can be reversed and there is less reduction of the natural tooth structure.
No-prep veneers are not for every patient, though. Dentists typically only recommend them for patients with few cosmetic issues.
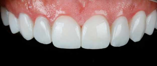
Veneers Before and After
One of the most convincing ways of understanding the value behind the cost of veneers is to view before and after veneers photographs. Patients can literally see a night-and-day difference in their teeth color, shape, and alignment that can boost confidence and self-esteem.
For example, a cracked or stained tooth patient might spend the average cost of veneers, but the transformation achieved from a single treatment can put it on par with orthodontics or the package of multiple dental procedures. Thus, the cost of veneers at the dentist turns into an economic as well as a personal expenditure when it comes to appearance and self-esteem.
Zirconia Veneers Cost
Zirconia veneers are also a good strong option, which is often utilized for patients who need the extra strength, particularly in the back teeth or in grinding patients. Zirconia is not as light in color as porcelain but is very strong.
The cost of zirconia veneers typically ranges between $900 and $2,000 for one tooth in high-cost areas, though lower prices are offered in countries renowned for dental tourism. While zirconia veneers will never be as naturally appealing as porcelain in every case, they are a great option for patients who prioritize longevity.
Factors Affecting Veneers Teeth Cost
While both veneer styles have their own price range, some common variables influence the cost of veneers teeth:
Number of teeth – The more teeth that are treated, the higher the overall price.
Material – Porcelain and zirconia are more expensive than composite.
Skill of the dentist – Very skilled cosmetic dentists may be more expensive.
Location – U.S. or U.K. costs are much higher than in dental tourism countries.
Additional procedures – Whitening, bonding, or orthodontics can contribute to the expense of veneers dental care.
Average Cost of Veneers
Patients should weigh both the short-term cost and long-term value when making the decision regarding the average cost of veneers. Although porcelain and zirconia are more costly teeth veneers, they have a longer lifespan and provide better aesthetics than composite.
If you are looking for a smile transformation, it is necessary to visit a licensed cosmetic dentist to get the proper estimate of veneers teeth price for your situation. If you wish to have porcelain, composite, or no-prep veneers, understanding the full set veneers price and contrasting the benefits can help you make the correct decision.
You may like

How Local Couriers Support Small Businesses

Best Replica YSL Bag in Patent Leather

Put Pen to Paper: How Custom Notebooks Can Make a Lasting Impression

From Listing to Sold: Sell A Car in Perth Without the Stress

Unlocking the Benefits of Engineered Steel Solutions for Modern Construction

Discover the Ultimate Comfort and Style of Women’s Underwear in Australia

Unlocking Performance: The Ultimate Guide to Custom PC Builds with Centre Com

Unlocking Opportunities in General Practice Recruitment: A Guide by Global Medics

Hope & Kent: How Snow Removal Technology Is Reaching B.C.’s Most Challenging Terrains

Connecting the Dots in Recruitment: How Skima AI Integrates Seamlessly with Your Hiring Stack

Carol Kirkwood’s Journey: Her Real Age, Husband, Career, and More

Revolutionizing Healthcare: The Emergence of AI-Driven Analytics

How Machine Learning and AI are Redefining the Future?

Aliza Barber: Meet Lance Barber’s Wife, Age, Life, Profile, Career and Net Worth

Evelyn Melendez: Jordan Knight’s Wife Bio, Marriage, Family, Career and Net Worth

Ilan Tobianah Biography: Family, Marriage, Lifestyle, Career and Net Worth

Who was Alice Marrow? Everything to Know About Ice-T’s and His Mother

King Von’s Autopsy Report: The Truth Behind the Tragic Death

Meet Otelia Cox: The Supportive Wife of Tony Cox – A True Fairy Tale Romance

Tea Leoni and Tim Daly Split – A Closer Look at Their Relationship and Breakup

How Local Couriers Support Small Businesses

Best Replica YSL Bag in Patent Leather

Put Pen to Paper: How Custom Notebooks Can Make a Lasting Impression

From Listing to Sold: Sell A Car in Perth Without the Stress

Unlocking the Benefits of Engineered Steel Solutions for Modern Construction

Discover the Ultimate Comfort and Style of Women’s Underwear in Australia

Unlocking Performance: The Ultimate Guide to Custom PC Builds with Centre Com

Unlocking Opportunities in General Practice Recruitment: A Guide by Global Medics

Hope & Kent: How Snow Removal Technology Is Reaching B.C.’s Most Challenging Terrains

Connecting the Dots in Recruitment: How Skima AI Integrates Seamlessly with Your Hiring Stack
Category
Trending
-
News2 months ago
Carol Kirkwood’s Journey: Her Real Age, Husband, Career, and More
-
Health2 years ago
Revolutionizing Healthcare: The Emergence of AI-Driven Analytics
-
Technology2 years ago
How Machine Learning and AI are Redefining the Future?
-
Celebrity1 year ago
Aliza Barber: Meet Lance Barber’s Wife, Age, Life, Profile, Career and Net Worth